破折歯を抜歯即時埋入インプラントで治療した症例
破折歯を抜歯即時埋入インプラントで治療した症例
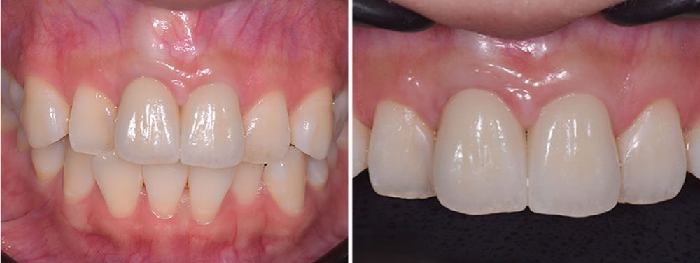
こちらの患者さまは、歯根破折により他院から両側中切歯のインプラント治療を依頼され、当院を受診されました。
抜歯即時埋入インプラントの実施
抜歯即時埋入およびPRPを併用した骨造成を行いました。ISQ値(インプラント安定指数)が十分でなかったため、即時荷重(インプラント体を埋入直後、または短期間で仮歯などを装着し、噛む力(咬合力)を加える方法)は行わず、手術を終了しました。
上部構造(人工歯)の装着
顎骨とインプラントがしっかりと結合したことを確認後、完成した上部構造(人工歯)を装着して治療完了となりました。
治療前後の比較
| 性別・年齢 | 30代 女性 |
|---|---|
| 治療期間 | 10ヵ月 |
| 来院回数 | 5回 |
| 治療費 | 1,331,000円(税込) |
| リスク・注意点 | ・3ヵ月に一度のメンテナンスが必要です。 ・上部構造が割れる可能性があります。 ・噛む力のコントロールが必要です。 ・汚れが溜まるとインプラント周囲の骨吸収が起こる可能性があります。 |










