インプラント治療と矯正治療によって咬合状態を改善した症例
インプラント治療と矯正治療によって咬合状態を改善した症例
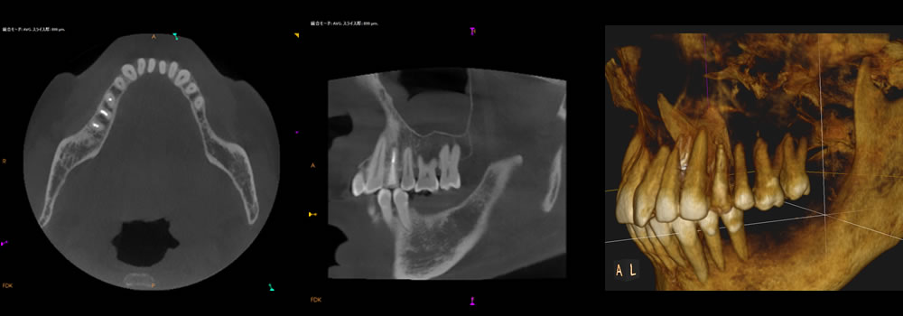
こちらの患者さまは、左下奥歯を欠損し、長期間放置していたことによって上顎の奥歯が伸びてしまってきたとのことで来院されました。
患者さまと相談し、インプラント治療と矯正治療によって咬合状態を改善する計画を立てました。左下奥歯は、歯のない期間が長く、顎骨が退縮していたため、インプラントの埋入時に骨造成を併用して骨を再生することにしました。
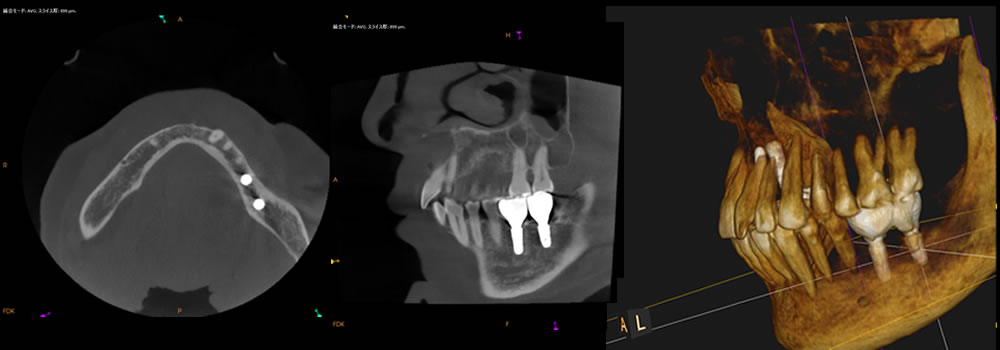
インプラント埋入
左下奥歯にインプラントを埋入した後のCT画像です。骨造成によって骨が再生し、インプラントが安定しています。
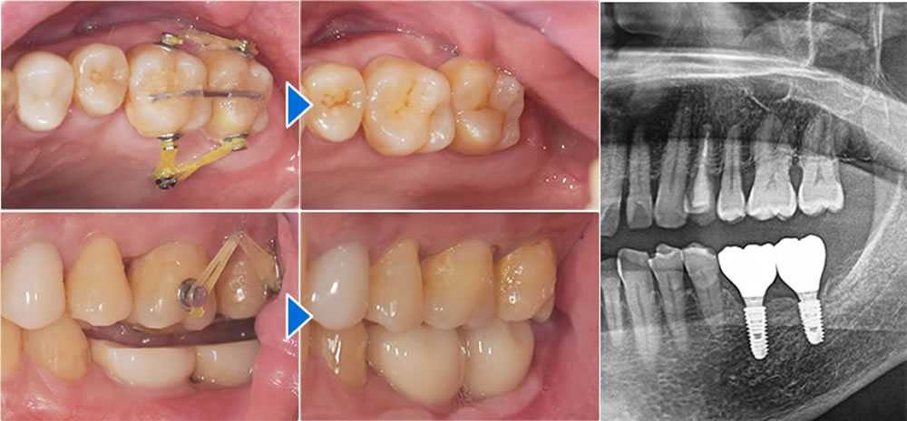
矯正治療の実施・治療完了
左下の歯が長期間なかったため、上の歯が伸びてきてしまっていました。適切な咬み合わせにするため、歯を削る事なく左下インプラント埋入後に矯正にて圧下し、上下バランスの良いインプラント上部構造が装着可能となりました。
(Dr姫野による矯正のためのアンカーインプラント埋入、Dr櫻井による矯正)
| 性別・年齢 | 60代 男性 |
|---|---|
| 治療期間 | 6ヵ月 |
| 来院回数 | 14回 |
| 治療費 | 1,600,000円(税込) |
| リスク・注意点 | ・上部構造が割れる可能性があります。 ・汚れが溜まるとインプラント周囲の骨吸収が起こる可能性があります。 ・3ヵ月に一度のメンテナンスが必要です。 ・噛む力のコントロールが必要です。 |










