破折した歯を抜歯即時インプラントで治療した症例
破折した歯を抜歯即時インプラントで治療した症例
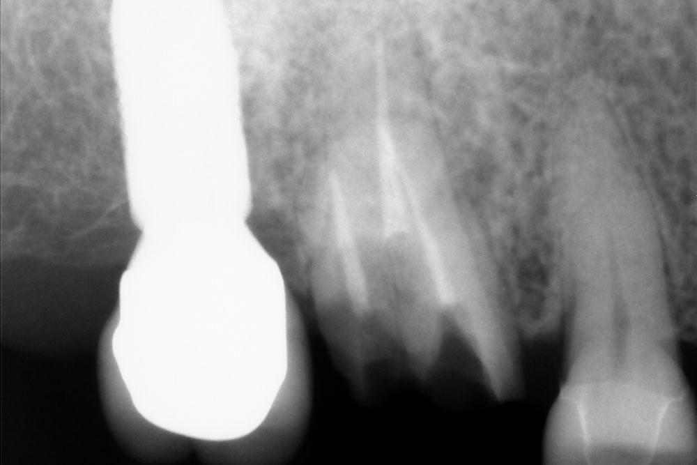
こちらの患者さまは、右上のかぶせ物が外れたことを主訴に来院されました。
検査の結果、歯根が破折しており、残念ながら保存は困難と診断しました。
患者さまの「できるだけ体への負担を少なくしたい」というご希望を踏まえ、抜歯と同時にインプラントを埋入する抜歯即時埋入法で治療を行う計画を立てました。
抜歯即時インプラントの実施
まず、残っていた歯根を丁寧に抜歯し、計画に沿ってインプラントを適切な位置に埋入しました。抜歯後に生じた骨の欠損部には、ソケットリフト(上顎洞挙上術)を行い、インプラントの埋入と同時に骨を補う骨造成も実施しました。
仮歯~最終上部構造の装着
しばらくの間は仮歯で生活していただき、問題がなかったため、仮歯を基に作製した最終上部構造(人工歯)を装着しました。
治療完了
最終上部構造を装着し、咬み合わせを調整して治療完了となりました。
| 性別・年齢 | 80代 女性 |
|---|---|
| 治療期間 | 4ヵ月 |
| 来院回数 | 5回 |
| 治療費 | 715,000円(税込) |
| リスク・注意点 | ・3ヵ月に一度のメンテナンスが必要です。 ・上部構造が割れる可能性があります。 ・噛む力のコントロールが必要です。 ・汚れが溜まるとインプラント周囲の骨吸収が起こる可能性があります。 |









